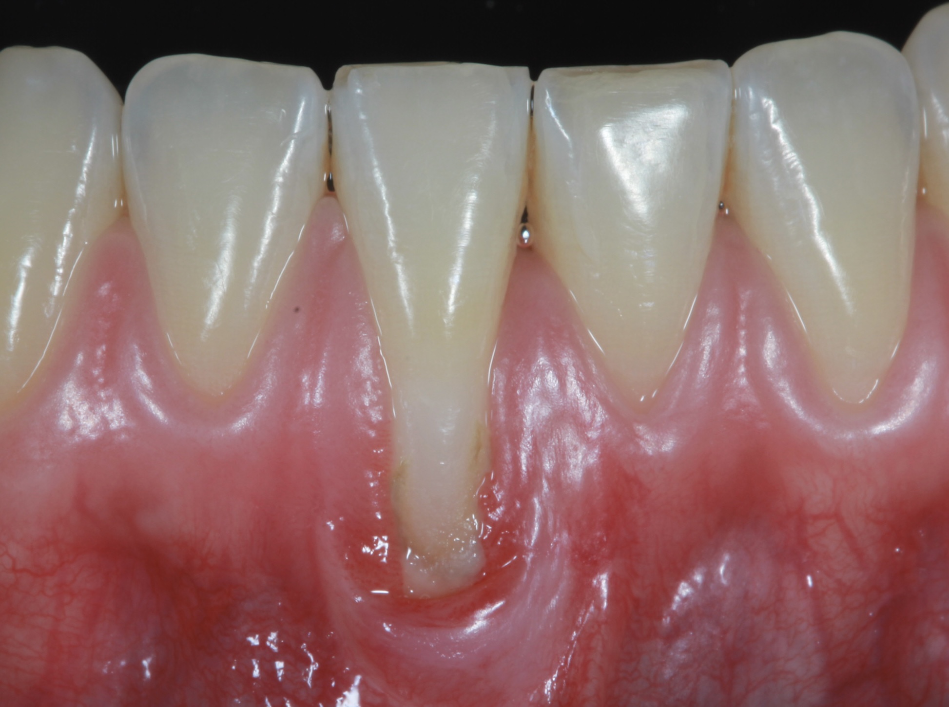
Na Nouva, o atendimento começa com escuta e acolhimento. A nossa equipa clínica reúne especialistas em implantes, prótese, odontogeriatria, DTM/bruxismo e estética, trabalhando de forma integrada para oferecer um plano de tratamento seguro, confortável e personalizado — especialmente pensado para quem valoriza confiança e previsibilidade de resultados.

Implantes e odontogeriatria com tecnologia de ponta e cuidado humanizado para quem valoriza segurança e resultado em Florianópolis.